当院では、患者様一人ひとりに合わせた安心安全な治療をご提案しています。実際に治療を受けられた患者様の症例をご覧いただき、一歩踏み出すきっかけとしてください。
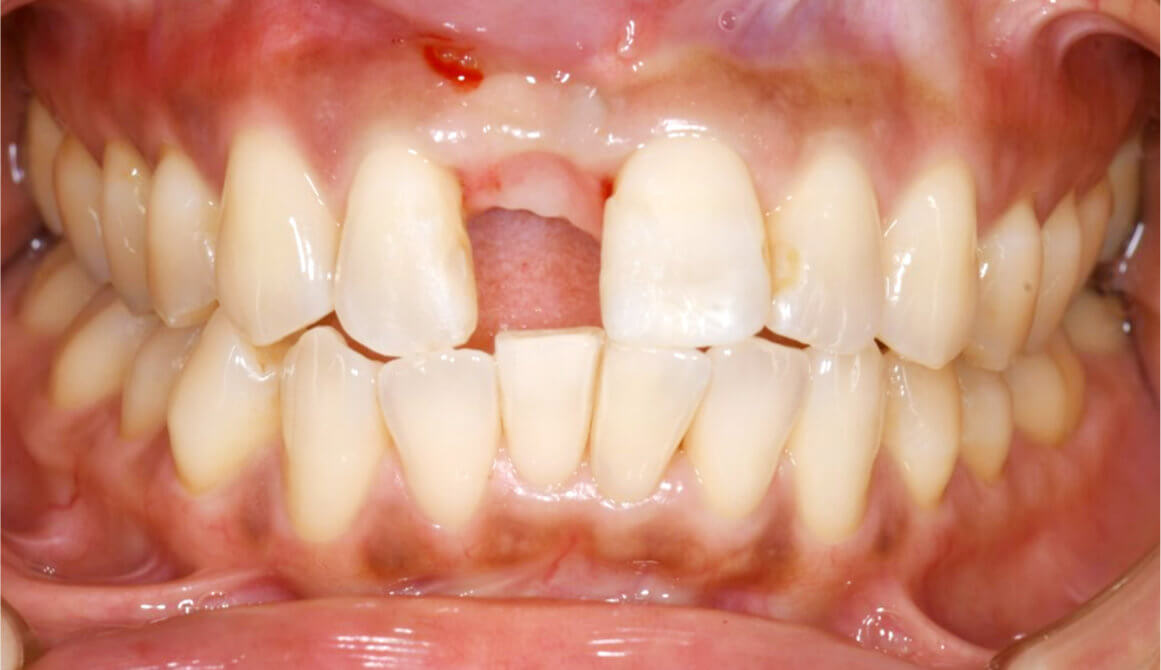
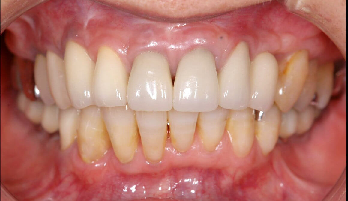
前歯を1本失った症例
Before
|
After
|
期間・費用等
| 施術内容 | 前歯インプラント治療 |
| 主訴 | 前歯を1本失った |
| 治療期間 | 8ヶ月 |
| 費用 | 相談・検査・診断・治療までの標準料金 (税別)443,000円 (税込)487,300円 |
※リスクと副作用:インプラント治療は自由診療となり健康保険対象外です。また、腫れ・痛み・出血・しびれ・感染などのリスクがあり、結果には個人差があります
前歯を4本失った症例
Before
|
After
|
![]() |
![]() |
期間・費用等
| 施術内容 | 前歯インプラント治療 |
| 主訴 | 前歯を4本失った |
| 治療期間 | 16ヶ月 |
| 費用 | 相談・検査・診断・治療までの標準料金 (税別)1,388,000円 (税込)1,526,800円 |
※リスクと副作用:インプラント治療は自由診療となり健康保険対象外です。また、腫れ・痛み・出血・しびれ・感染などのリスクがあり、結果には個人差があります
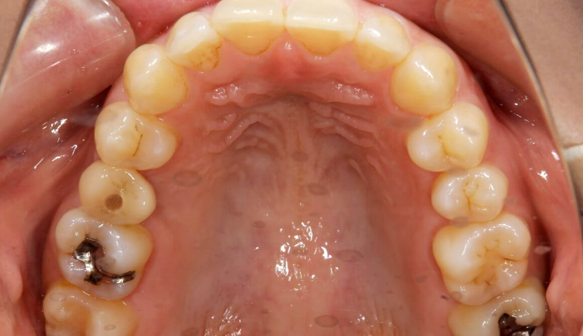
奥歯を1本失った症例
Before
|
After
|
期間・費用等
| 施術内容 | 奥歯インプラント治療 |
| 主訴 | 奥歯を1本失った |
| 治療期間 | 8ヶ月 |
| 費用 | 相談・検査・診断・治療までの標準料金 (税別)443,000円 (税込)487,300円 |
※リスクと副作用:インプラント治療は自由診療となり健康保険対象外です。また、腫れ・痛み・出血・しびれ・感染などのリスクがあり、結果には個人差があります
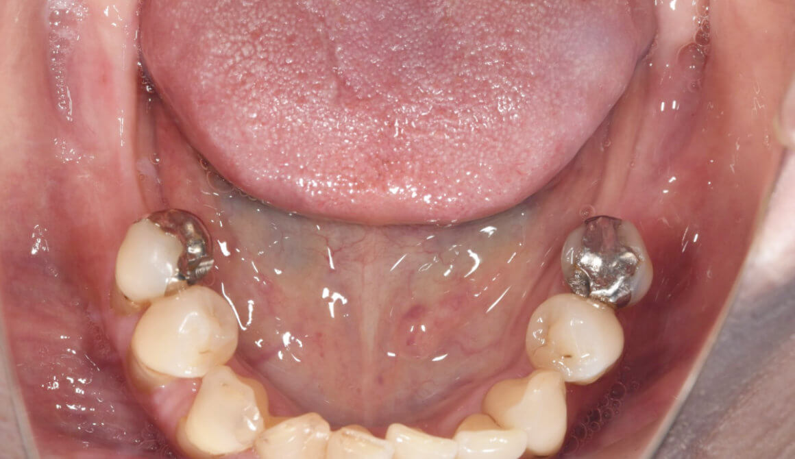
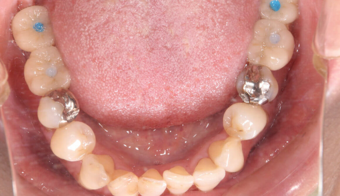
奥歯を4本失った症例
Before
|
After
|
期間・費用等
| 施術内容 | 奥歯インプラント治療 |
| 主訴 | 奥歯を4本失った |
| 治療期間 | 16ヶ月 |
| 費用 | 相談・検査・診断・治療までの標準料金 (税別)1,388,000円 (税込)1,526,800円 |
※リスクと副作用:インプラント治療は自由診療となり健康保険対象外です。また、腫れ・痛み・出血・しびれ・感染などのリスクがあり、結果には個人差があります
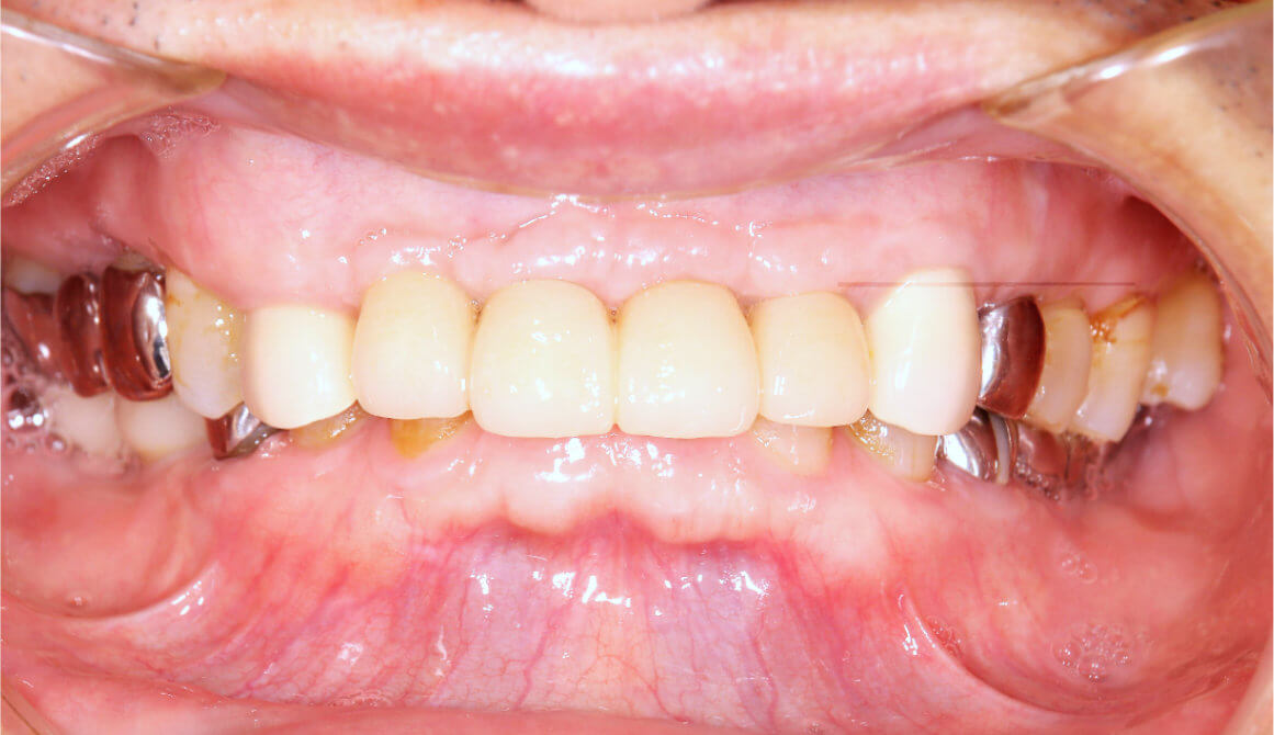
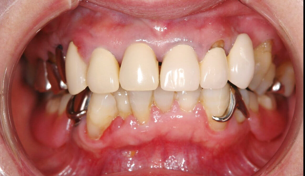
複雑なケース(インプラントと矯正)
Before
|
After
|
期間・費用等
| 施術内容 | インプラント治療と全顎矯正 |
| 主訴 | 失われた歯のインプラントと 矯正治療をあわせて実施 |
| 治療期間 | 24ヶ月 |
| 費用 | 相談・検査・診断・治療までの標準料金 (税別)1,388,000円 (税込)1,526,800円 ※矯正費用別途 お口の状態によって金額は変わります。 |
※リスクと副作用:インプラント治療は自由診療となり健康保険対象外です。また、腫れ・痛み・出血・しびれ・感染などのリスクがあり、結果には個人差があります


























