Q1
このような症状は
ありませんか?

皮膚がかゆい

皮膚に赤い部分がある

皮膚にブツブツがある

金属で皮膚がかぶれる
「皮膚科を受診しても治らない」
「アクセサリーを外しても
症状がおさまらない」
A
それは、お口の中にある
金属が原因かもしれません。
これまで受けた歯科治療による詰め物・被せ物・入れ歯など、
あなたのお口の中には金属が存在する可能性があります。
金属アレルギーは、こうした歯科治療による金属に反応して発症することがあります。
お口の中に苦みを感じる場合や、口元、顔などに湿疹が出たときなどは、特に注意が必要です。
まずはアレルギー相談を
ご利用ください
Q2
金属アレルギーって
なんだろう?
A
金属アレルギーとは?
METAL ALLERGY
体外の異物に対して、体を守ろうとする免疫反応。この免疫反応が、特定の異物に対して過剰に起こることを、アレルギーと言います。 金属アレルギーは、金属が汗や唾液によってイオン化され、皮膚を通過することにより、体が異常な反応をする状態です。
発症の因子は、指輪やネックレス、腕時計といったアクセサリー類、衣服のボタンやベルトのバックル、下着の金具などさまざま。体が金属に触れる状況は、身の回りにたくさんあります。


A
歯科金属アレルギーとは?
DENTAL METAL ALLERGY
金属アレルギーには2種類あり、局所性の金属アレルギーと全身性金属アレルギーです。
局所性とは字の通り金属が触れることでその部位にアレルギーが起こることです。ネックレスやピアスなどが触れることでその部位に反応が出ます。
歯科金属アレルギーは全身性の金属アレルギーという項目に入ります。どこに発症しやすいかというと手や足などの汗が出やすい部位に起こることが多いです。
歯科金属アレルギーの
受診患者の傾向
| 患者年齢 | 8歳~84歳(平均50歳) |
|---|---|
| 性別での差 | 女性>男性(女性のほうが6倍なりやすい傾向があります) |
| 代表疾患 | 掌蹠膿疱症、接触皮膚炎、湿疹、アトピー性皮膚炎 |
Q3
具体的な症状は?

アレルギー性接触皮膚炎
アクセサリーや衣服などを身に付けた体の部分が、
赤く腫れたり、かぶれたりします。

全身型金属アレルギー
口の中でイオン化した金属が皮膚や粘膜から体内に取り込まれ、
手や足など全身に発症します。

歯性病巣感染
歯周病や歯の根の炎症によって掌蹠膿疱症などが起こることがあるとされています。
逆に、歯周病、根の治療を行うことで掌蹠膿疱症が改善することも多く経験しています。

その他
- 掌蹠膿疱症
-
手のひらや足の裏に膿ができる
※掌蹠膿疱症は必ずしも金属アレルギーが原因でない場合もあります。 - 汗疱状湿疹
-
手のひらや足の裏の水ぶくれができる
- 扁平苔癬
-
口の中に白い斑点やレース状の病変ができる
全身型金属アレルギーは、歯科治療の金属の他、食事によって体内に金属が取り込まれることによって引き起こされることもあります。
まずはアレルギー相談を
ご利用ください
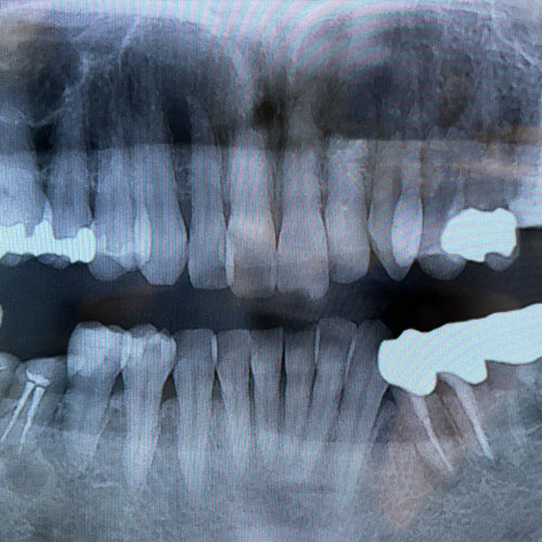
お口にこんな金属が
入っている可能があります

アマルガム
詰め物に使われてきたアマルガムは、水銀を50パーセント含んだ合金です。口の中で水銀が溶け出し体内に蓄積され、金属アレルギーの症状を引き起こすことがあります。

金銀パラジウム合金
被せ物に使われます。天然の歯より硬く、噛み合わせの衝撃が蓄積されることで、首や肩のこり、腰痛、頭痛など、全身の不調を引き起こす可能性があります。

銀合金
歯の土台に使われる金属です。年月を経るとともに劣化します。
Q4
治療はどのように
進んでいくの?
A
皮膚科と連携を取りながら
治療を進めます
中央歯科クリニックでは、患者様の現状を把握し、
しっかりと検査をした後、皮膚科医と連携を取り治療を進めます。
患者様が納得した上での治療が大切だと考えています。

FLOW
OR
皮膚科にて継続診療

パッチテストの結果は
どこの病院でも同じ?
金属アレルギーの原因を確定するには皮膚科でのパッチテストが効果的ですが、施行方法や判定方法、結果の考察、生活指導など一連の診療技術には一定期間の修練が必要です。また、パッチテストは手間と時間がかかりますので、一般診療ではあまり活用されていません。たまにしか行わない先生と経験を積んだ先生では結果の解釈が異なる可能性があります。
当院は、長年金属アレルギーの研究をされており症例数も多い、東北大学病院や、菜の花皮膚科クリニック様らと連携しパッチテストを行っていますのでご安心ください。
パッチテストのスケジュール
| 1日目 | 貼布試料を上背部に貼る |
|---|---|
| 2日目 | 受診の必要なし |
| 3日目 | 貼布試料を剥がして判定 |
| 4日目 | 判定 |
| 7日目 | 判定して説明する |
まずはアレルギー相談を
ご利用ください
Q5
歯医者での治療って
何をするの?
A
原因となる
金属の除去、置換
皮膚科で行うパッチテストでは、患者様の体がどの金属にアレルギー反応を起こすのかを検査します。口の中に使われている金属に陽性反応が示された場合、その詰め物や被せ物、入れ歯を除去するか使用をやめます。さらには、金属アレルギーの心配がない、患者様の体質に合った歯科材料による修復・交換治療を行います。
ただし、陽性反応が示された場合であっても、その原因のみを除去することで全ての症状がなくなるとは限りません。原因の除去で改善することが多い金属アレルギーですが、複数の物質が原因となっている場合や環境によって引き起こされる場合もあります。


A
病巣除去のための治療
レントゲンに写った歯の根っこにある病巣や歯周疾患を診断して、総合的な判断のもと治療計画を立て、経過を見ながら治療を行います。具体的な方法として抜歯や扁桃摘出(耳鼻科との連携による)なども検討されます。
A
その他の治療
インプラント治療をすでに受けている方の場合には、高次医療機関に治療をお願いする場合もあります。
例えば、アトピー性皮膚炎がある方などはステロイドの外用を常に塗っており、それをしっかりと中断しなければ実は陽性でもステロイドの力で陰性の反応がでてしまいます。
また、しっかりと背中に貼る金属を密封しなければいけないのですが、それができていない場合も正確な反応が出ないことがあります。
そして、診断には原因を確定する有効な手段であるパッチテストが有用ですが、その施行方法、判定方法、結果の考察、患者様への生活指導など一連の診療技術には一定期間の修練が必要と日本皮膚科学会のホームページにも記載されています。
つまり、パッチテストはどこのクリニックで受けてもよいわけではありません。
当院でも様々なクリニックでパッチテストを受けてもらっていますが、各医院ごとで同じ患者様でも結果が異なることもあります。
当院は東北大学病院や、菜の花皮膚科クリニックと連携し、金属アレルギーを含む様々な皮膚疾患を有する患者様の治療にあたっています。
当院は、東北大学病院より地域医療連携施設として認定されています。


Q6
なぜ中央歯科クリニックに
相談する方が増えているの?
A
皮膚科、内科との連携を
大切にしている
皮膚疾患の症状があり、金属アレルギーを疑われて来院された場合や歯科治療を進める中で金属アレルギーが疑われた場合に、当院では、皮膚科や耳鼻科など他の医療機関との連携することが何より大切だと考えています。
皮膚疾患に対し、歯科単独で対処することはできません。金属アレルギーによる症状とは限らないこともあるため、皮膚科、耳鼻科などさまざまな視点から診断し、患者様の皮膚疾患の軽減、治癒に関与に向け、歯科として最大限の支援をすることが大切だと考えています。


A
最低限の金属しか外さない
原因となる金属を除去しても、全ての症状が改善するとは限りません。経過観察には時間がかかり、残念ながらアレルギー症状が治癒しないこともあります。セラミックなど金属アレルギーの心配がない歯科材料への交換は、保険適用外診療となり、患者様には負担がかかります。
中央歯科クリニックでは、検査結果を慎重に判断し、他に原因がないかを調べた上で、最低限の金属しか外しません。極力、患者様への負担が少ないような治療を心がけています。食べ物にも金属は含まれます。当然、日常生活で金属に触れる機会は多々あります。普段の生活における金属アレルギーに関する総合的な視点、対策を行う上でも皮膚科との連携は非常に重要です。
INTRODUCTION
多くの金属アレルギーを
治療してきた実績があります
※歯科治療だけでは金属アレルギーの症状が改善しない場合もあります。
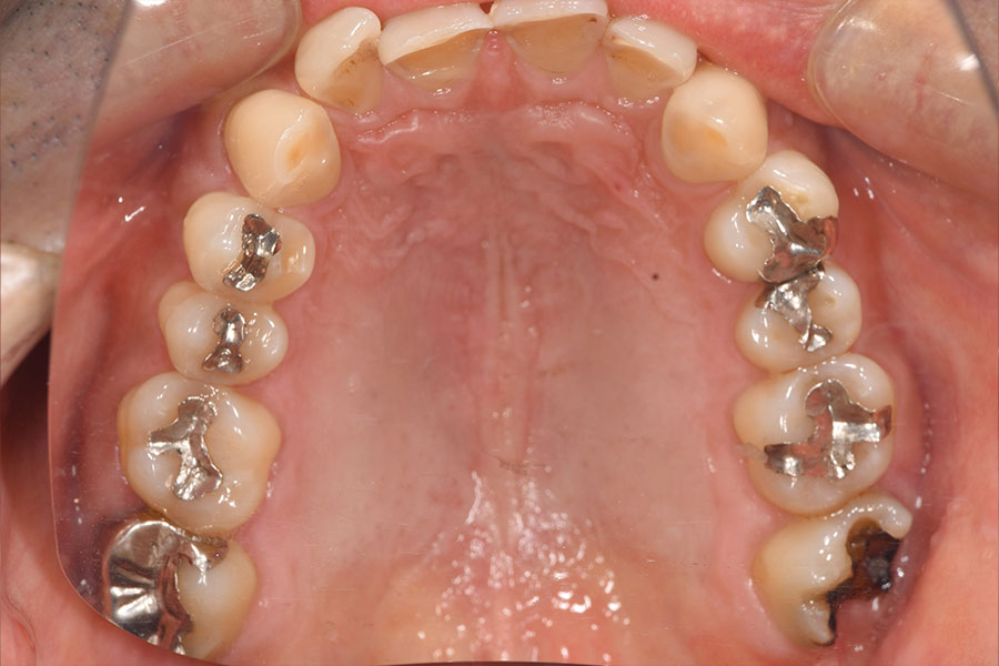
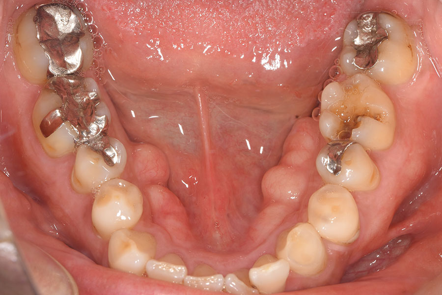
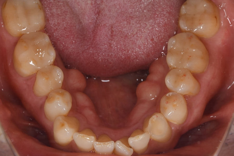
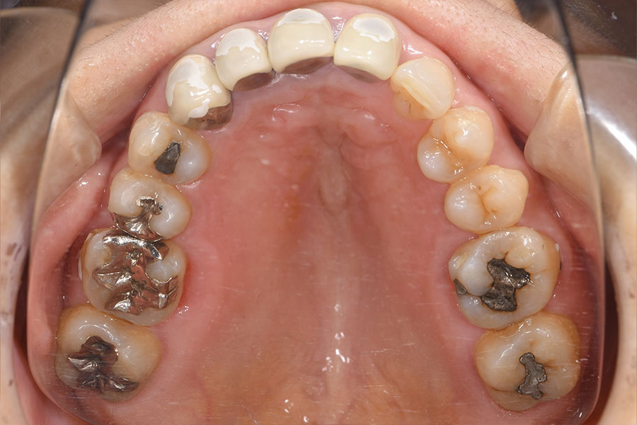
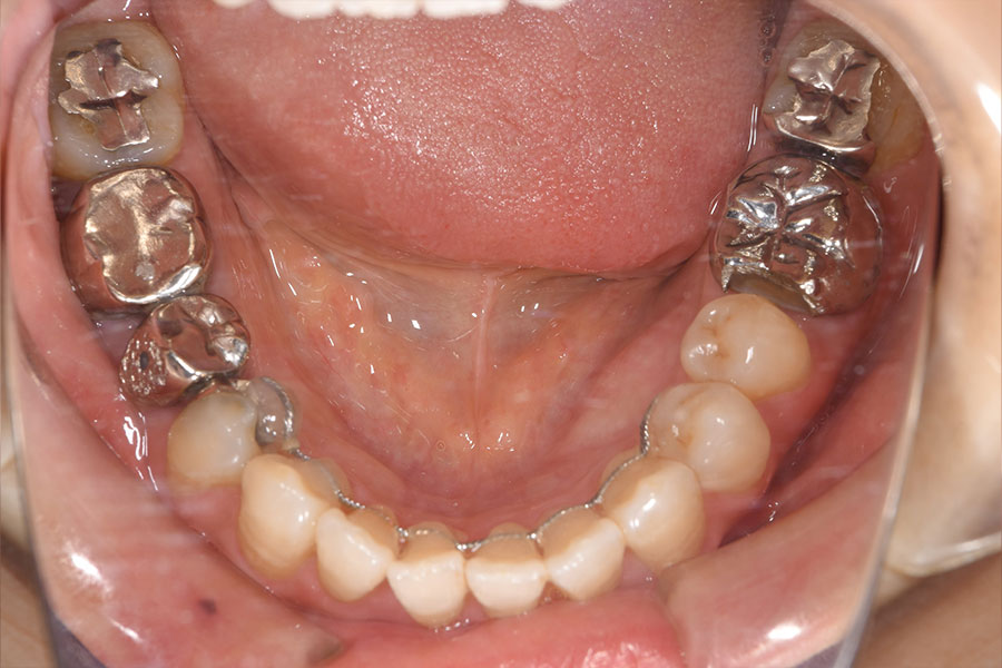
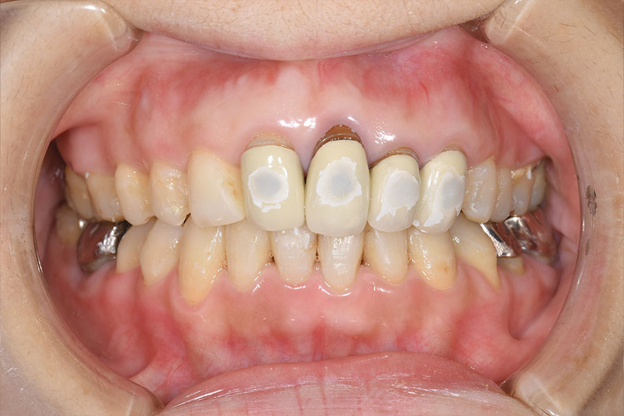
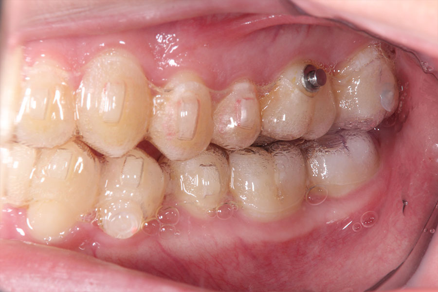
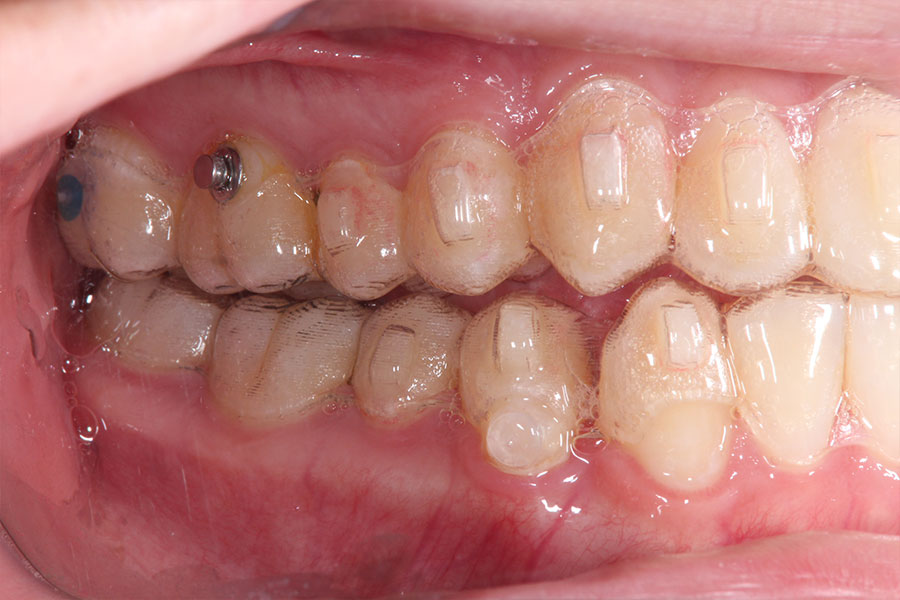
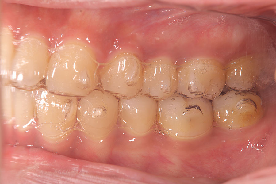
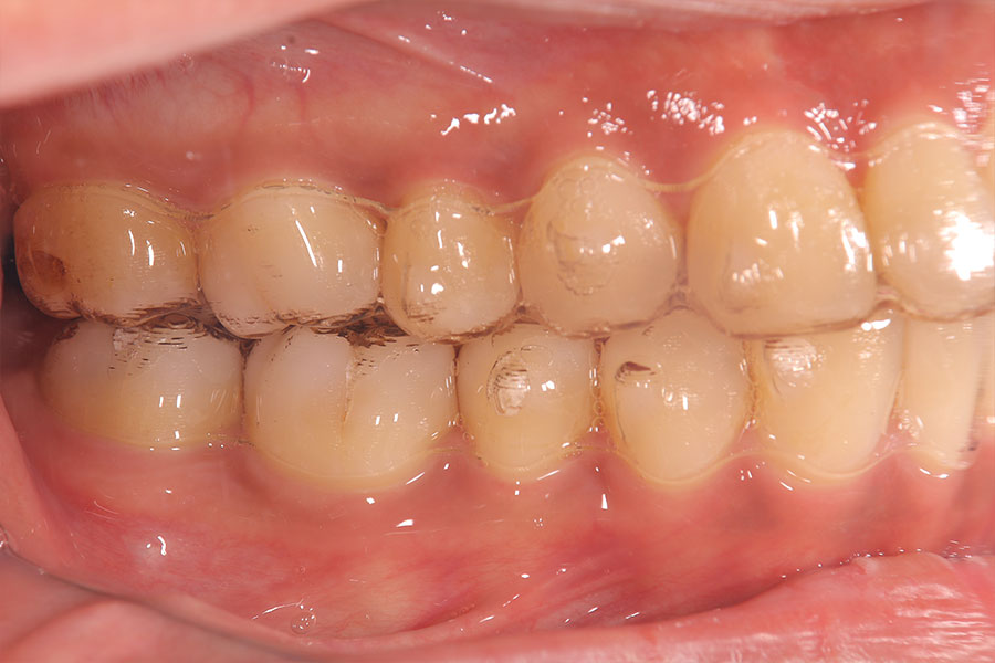
症例1
【どうしても治療が難しいケースについて】
中央歯科クリニックでは、患者様の金属アレルギー症状改善に全力を尽くしますが、安全と確実な改善のため、以下の場合は治療が困難、または適用できないことがあります。あらかじめご了承ください。・原因が歯科金属以外の場合パッチテストの結果、症状の原因が歯科金属以外(食品・日用品・他の疾患など)である場合。・全身状態が不安定な場合重度の全身疾患などにより、治療や外科処置に耐えられないと判断される場合。・治療への協力が困難な場合治療に必要な通院や生活指導への継続的なご協力が得られない場合。・歯の保存が不可能な場合金属除去により歯が大きく欠けたり、歯の根が割れたりするリスクが高く、やむを得ず抜歯が必要になる場合。
Before

After

| 施術内容 | 口腔内の湿疹を訴えていた患者さんに対し、口腔内に被せ物として装着されていた金属を取り外すなどの治療を行った結果症状に改善がみられました。 |
|---|---|
| 治療期間 | 約2ヶ月 |
| 費用 | ジルコニアクラウン 605,000円 ジルコニアインレー 59,950円 |
| リスク・副作用 | 治療にともない、歯の破折や歯質の削合、場合によっては抜歯が必要となることがあります。また、金属や補綴物を除去する際に、完全に除去できない場合もあります。 |
欠損した部分には金属のない樹脂製の入れ歯を入れ補うことで噛み合わせを回復させることができます。 金属アレルギーの観点から、メタルフリーの入れ歯をおすすめしています。
金属の入った入れ歯

金属のない入れ歯

Before

After

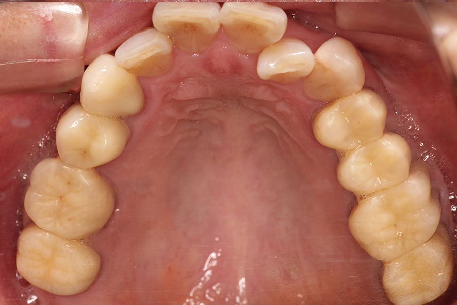
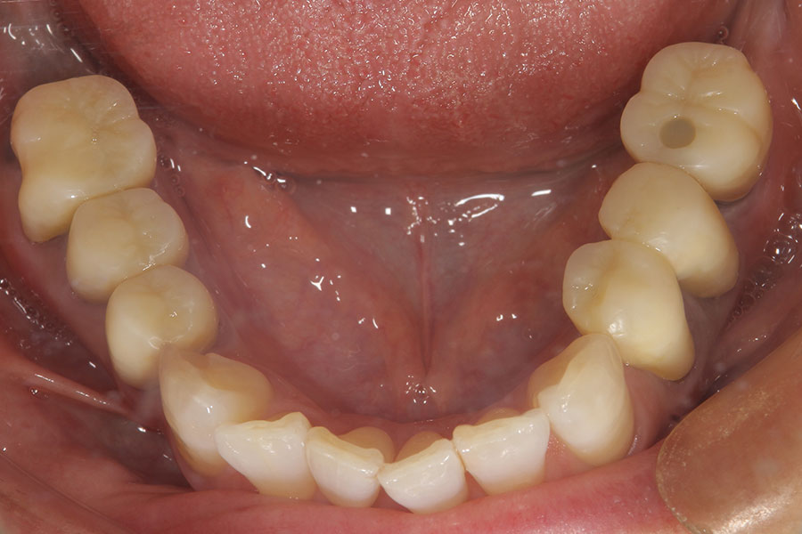
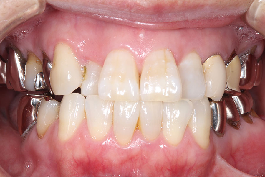
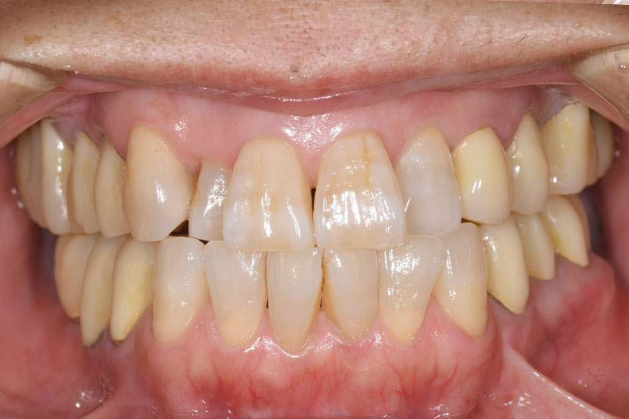
症例2
Before -上顎-

After -上顎-

Before -下顎-

After -下顎-

Before -正面-

After -正面-

| 施術内容 | 金属アレルギー予防を目的に、金属フリーの自費補綴へ変更。適合性・清掃性・審美性の向上が得られています。 |
|---|---|
| 治療期間 | 約4ヶ月 |
| 費用 | ハイブリットクラウン ハイブリットインレー 693,000円 |
| リスク・副作用 | 治療にともない、歯の破折や歯質の削合、場合によっては抜歯が必要となることがあります。また、金属や補綴物を除去する際に、完全に除去できない場合もあります。 |
症例3
Before -上顎-

After -上顎-

Before -下顎-

After -下顎-

| 施術内容 | 金属アレルギー予防を目的に、金属フリーの自費補綴へ変更。適合性・清掃性・審美性の向上が得られています。 |
|---|---|
| 治療期間 | 約4ヶ月 |
| 費用 | オールセラミックインレー 693,000円 |
| リスク・副作用 | 治療にともない、歯の破折や歯質の削合、場合によっては抜歯が必要となることがあります。また、金属や補綴物を除去する際に、完全に除去できない場合もあります。 |
症例4
Before -上顎-

After -上顎-

Before -下顎-

After -下顎-

Before -正面-

After -正面-

| 施術内容 | 金属アレルギー予防を目的に、金属フリーの自費補綴へ変更。適合性・清掃性・審美性の向上が得られています。 |
|---|---|
| 治療期間 | 約4ヶ月 |
| 費用 | オールセラミッククラウン 264,000円 オールセラミックインレー ハイブリットインレー 275,000円 |
| リスク・副作用 | 治療にともない、歯の破折や歯質の削合、場合によっては抜歯が必要となることがあります。また、金属や補綴物を除去する際に、完全に除去できない場合もあります。 |
症例5
Before -正面-

After -正面-

Before -側面-

After -側面-

Before -側面-

After -側面-

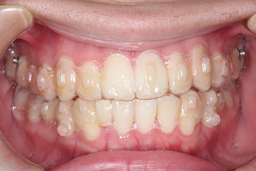
| 施術内容 | ワイヤー矯正から、目立ちにくくメタルフリーなインビザラインへ変更しました。 金属アレルギーの不安が軽くなり、取り外しできることで清掃性も向上。見た目も自然で、治療中のストレスが少ない矯正方法です。 |
|---|---|
| 治療期間 | 2年間 |
| 費用 | インビザラインフル 767,800円 リテーナー 30,000円 |
| リスク・副作用 | 治療にともない、歯の破折や歯質の削合、場合によっては抜歯が必要となることがあります。また、金属や補綴物を除去する際に、完全に除去できない場合もあります。 |
症例6
Before -正面-

After -正面-

Before -側面-

After -側面-

Before -側面-

After -側面-

| 施術内容 | ワイヤー矯正から、目立ちにくくメタルフリーなインビザラインへ変更しました。 金属アレルギーの不安が軽くなり、取り外しできることで清掃性も向上。見た目も自然で、治療中のストレスが少ない矯正方法です。 |
|---|---|
| 治療期間 | 2年間 |
| 費用 | インビザラインフル 767,800円 リテーナー 30,000円 |
| リスク・副作用 | 治療にともない、歯の破折や歯質の削合、場合によっては抜歯が必要となることがあります。また、金属や補綴物を除去する際に、完全に除去できない場合もあります。 |
MESSAGE
患者様へのメッセージ

身近な家族を救いたい
私自身、身近な家族が皮膚疾患によりつらそうな毎日を送る姿を見てきました。手が荒れ、かゆみ、ただれに苦しむ日々。その姿を近くで見て、「なんとかできないだろうか」と思ったのが、金属アレルギー治療を考えるきっかけでした。
あるときふと、「歯に入っている金属が皮膚と関係しているからもしれない」と思い浮かび、「自分が得意とする分野に可能性があるのなら、病気を治してあげられるのではないか」と考え、金属アレルギー治療に関する研究、活動が始まりました。
今から30年以上前のことです。当時は今ほど表立った情報がなく、金属の詰め物と皮膚が関係しているわけがないという声もありましたが、学ぶうち、この思いは確信に至ったのです。
皮膚科医の専門家と
連携することこそ重要
歯科金属によって困っている人を救うには、その根拠も立証しなくてはなりません。私は歯の専門家であり、皮膚の専門家ではありません。歯科の力だけでは解決できないと考え、信頼できる皮膚科医と連携して、最適な治療を提供できる体制を整えてきました。
簡単な道のりではありませんでしたが、その思いで重ねた行動が結果に結びつき、少しずつ患者様から喜びの声をいただけるようになったのです。
「他人に手を見せるのがつらかった日々が嘘みたい」
「長年悩んでいたことの原因が歯医者さんでわかるなんて…」
多くの方から喜びの声を聞くたび、うれしく思うのと同時に、「もっとたくさんの人を救いたい」「もっと正しい情報を知ってもらいたい」と考えるようになりました。そのような思いから、全国で講演し患者様に情報を提供してきましたし、現在ではさらにたくさんの専門家の助けもあり、皮膚疾患で悩むより多くの方に最適な治療を提供することができるようになってきたのです。


一人でも
多く助けてあげたい
金属アレルギーについて適切な治療を提供できるドクターが、全国に増えることを願って、講演活動を続けています。
現在、ありがたいことに一関市だけでなく、県外からも多くのお問い合わせをいただいています。
ただ、遠方から通うのは時間や体力、金銭面での負担も大きいものです。
今後は、専門的なドクターが各地域の患者様を救うことのできる機会がふえればと思っています。
それって本当に
金属アレルギーですか?
当院は20年以上前から金属アレルギーを含む皮膚疾患の患者様と向き合いながらここまでやってきました。そして、多くの事実を発見しました。
当院には、「他院で費用をかけて金属除去をしてセラミックに変えたけど、全然皮膚の症状がよくならない・・・」といった患者様が多くいらっしゃいます。
もちろん、これは誰かの悪意によってこのような結果になっているわけではありません。
現在の日本では、金属アレルギー治療に対して正しい統一化されたガイドラインのようなものがありませんので、各歯科医院でそれぞれ治療方法が異なっているというのが事実です。
パッチテストを行い、金属を除去して皮膚症状が治癒した割合の研究があります。

金属パッチテスト陽性皮膚疾患患者での歯科金属除去効果の検討
我々は1984年から1999年の16年間に当科を受診した皮膚疾患を有する金属パッチテスト陽性患者51症例について、歯科金属と皮膚疾患の関連について調査を行った。
皮膚疾患は掌蹠膿疱症が18例と最多であった。可能な症例については歯科金属の成分同定を行い、原因と考えられた金属を除去し皮膚症状の改善効果があるか否かを検討した。
合併症(病巣感染)を持つ症例については、それらの治療効果も検討した。
金属除去が有効と思われた症例は全体の50%だったが、パッチテスト陽性金属を除去した症例に限れば67%であった。
日本皮膚科学会学会誌 113巻 2号より転載

金属アレルギーは
50%~67%しか治らないのが現実
それは、「パッチテストの正確性」「皮膚科での適切な治療」「医療連携」がしっかりと行われていないことがあげられます。
パッチテストは偽陰性、偽陽性(実は陽性なのにもかかわらす陰性と反応がでてします、実は陰性なのに陽性とでてしまう。)こともあるといわれています。
例えば、アトピー性皮膚炎がある方などはステロイドの外用を常に塗っており、それをしっかりと中断しなければ実は陽性でもステロイドの力で陰性の反応がでてしまいます。
また、しっかりと背中に貼る金属を密封しなければいけないのですが、それができていない場合も正確な反応が出ないことがあります。
そして、診断には原因を確定する有効な手段であるパッチテストが有用ですが、その施行方法、判定方法、結果の考察、患者様への生活指導など一連の診療技術には一定期間の修練が必要と日本皮膚科学会のホームページにも記載されています。
つまり、パッチテストはどこのクリニックで受けてもよいわけではありません。
当院でも様々なクリニックでパッチテストを受けてもらっていますが、各医院ごとで同じ患者様でも結果が異なることもあります。
当院は藤田医科大学ばんたね病院(ばんたね病院は総合アレルギー科を有し、パッチテストに関してはかなり症例数も多いクリニックです。)と連携し金属アレルギーを含む様々な皮膚疾患を有する患者様の治療にあたっています。

原因は金属だけではありません
下記「問診から推定するアレルゲン」の通り、様々なアレルゲンが世の中には存在しており、そもそも皮膚科でこのようなことを調べてもらっているかが大切になります。
当院が連携している藤田医科大学はもちろん皮膚科診療のエキスパートでありこのあたりのことは配慮していつも診療されています。
ALLERGEN
問診から推定するアレルゲン
- 日用品
-
- 接触皮膚炎・刺激性皮膚炎
- ヘアダイ、シャンプー、リンス、洗剤、衣類(ホルムアルデヒド)、メガネ(染料)、ゴム手袋
- 接触皮膚炎・刺激性皮膚炎
- 化粧品
-
- アレルギー性接触皮膚炎・刺激性皮膚炎
- 下地クリーム、乳液、ファンデーション、化粧水、パック剤、サンスクリーン剤、アイシャドー、マスカラ、口紅、リップクリーム、頬紅
- 色素沈着
- 香料、色素
- 光接触皮膚炎
- 紫外線吸収剤
- アレルギー性接触皮膚炎・刺激性皮膚炎
- 植物・食物
-
- 刺激性接触皮膚炎
- イラクサ、ニンニク、パイナップル、キウイフルーツ、アロエ
- アレルギー性接触皮膚炎
- ギンナン、セリ科、アブラナ科、キク科、ウルシ科、柑橘類、健康食品(プロポリス・キチンキトサン)、サクラソウ
- 光接触皮膚炎
- セリ科、柑橘類
- 刺激性接触皮膚炎
- 金属
-
- アレルギー性接触皮膚炎
- アクセサリー、コイン、時計、革製品、ステンレス、塗料
- 全身性接触皮膚炎
- 歯科金属、食物
- アレルギー性接触皮膚炎
- 医薬品
-
- アレルギー性接触皮膚炎
- 抗菌薬、抗真菌薬、非ステロイド系消炎薬、ステロイド外用薬、点眼薬、消毒薬、潰瘍治療薬、保湿剤
- 光接触皮膚炎
- 非ステロイド系消炎薬(ケトプロフェン・スプロフェン・ピロキシカム)
- 全身性接触皮膚炎
- 坐薬、膣剤
- アレルギー性接触皮膚炎
- 職業性
-
- 刺激性皮膚炎(化学熱傷を含む)
- 農薬、酸、アルカリ、フッ化水素、セメント、灯油、過酸化水素
- アレルギー性接触皮膚炎
- 金属、レジン、ゴム、切削油、合成洗剤、消毒薬
- 刺激性皮膚炎(化学熱傷を含む)
LASTLY
最後に
私たちは、金属アレルギーの改善に向けて、皮膚科や大学病院などと連携しながら治療を進めています。
お口の中を整えることで、全身の健康にもつながるよう、
根本からのサポートを行ってまいります。
患者様の人生にかかわる健康の問題としてライフサイクルの中で捉え、治療に向き合っています。
中央歯科クリニックが最も大切にしていることは「患者さんとのコミュニケーション」と「包括歯科診療」です。包括歯科診療とは、単にお口の中だけの病気と考えずに、その人の人生にかかわる健康の問題としてライフサイクルの中で捉え治療を行うことです。
患者さんが生涯健康で豊かな人生を歩んでいけるよう、歯科医師・歯科衛生士・歯科技工士・トリートメントコーディネーター・歯科助手・受付・事務・滅菌専門スタッフなど、全スタッフ一丸となり患者様と向き合っています。
院長 佐藤 奨
さとう すすむ

まずはアレルギー相談を
ご利用ください
CLINIC
安心して通える歯医者さん

〒029-3101 一関市花泉町花泉字郷の里57
| 診療時間 | 月 | 火 | 水 | 木 | 金 | 日 | 日 |
|---|---|---|---|---|---|---|---|
| 9:00〜12:00 | ○ | ○ | ○ | ※ | ○ | ○ | – |
| 14:00〜17:30 | ○ | ○ | ○ | ※ | ○ | ○ | – |
- 最終受付は17:00です
- 日曜日・祝日・第1木曜日・第3木曜日は休診です
〒029-3101 一関市花泉町花泉字郷の里57
金属アレルギーのような症状がある方は、まず一度受診ください。
□ 現在の歯やお口の状態の検査・説明
□ 金属アレルギーの検査のご案内
□ 患者様のご質問にお答え









